Can you fix yellowed teeth?
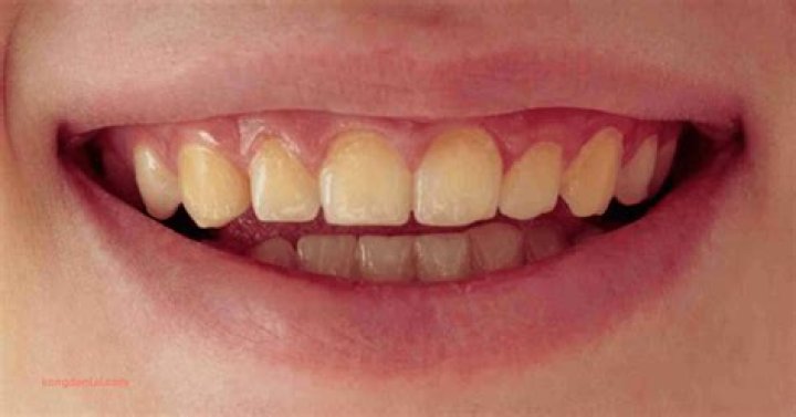
Yellowing or stained teeth can happen at any time, but you do have several teeth whitening options to improve your smile without causing any harm to the t...
Read JournalReliable news and clear analysis on the stories that matter.
Yellowing or stained teeth can happen at any time, but you do have several teeth whitening options to improve your smile without causing any harm to the t...
Read JournalSuzanne Salamon, a geriatric physician with Harvard-affiliated Beth Israel Deaconess Medical Center. "Everyone gets tired sometimes, and your endurance ma...
Read JournalThe veteran actor, now 52 years old, has been on a vegetarian diet and was an aspiring vegan until January 2020. As reported to GQ India, his vegan diet p...
Read JournalSugar Crystal SnowflakesPut 3/4 cup of water into pot and boil (on hot plate).Pour sugar into water and stir until sugar dissolves.Bend pipe cleaner(s) in...
Read JournalThe healthy engine oil you need for optimum performance typically should be amber or at least close to yellow when you check it. New and clean engine oil ...
Read JournalWhether you're looking for a new love interest or want to strengthen your current relationship, the manifestation method is the same.Step 1: Decide w...
Read JournalHow to Make Your Long Distance Boyfriend Feel Special Send him a surprise email. Text him encouraging messages. Call him at the end of the day. Take a spi...
Read JournalJust think of it as the ultimate reset button. "Everyone thinks that you're losing weight during the workout, but it's actually during the recov...
Read JournalA Cat's Anal Glands Can Be Stinky There are scent glands just inside the rectum of cats. These are normally expressed during defecation, but sometime...
Read JournalThe surviving parent normally receives full custody of your children if the parents are divorced, and one of the adults dies. They would need to complete ...
Read Journal